系列文章目录
文章目录
前言
vr = volume rendering 体绘制,体渲染
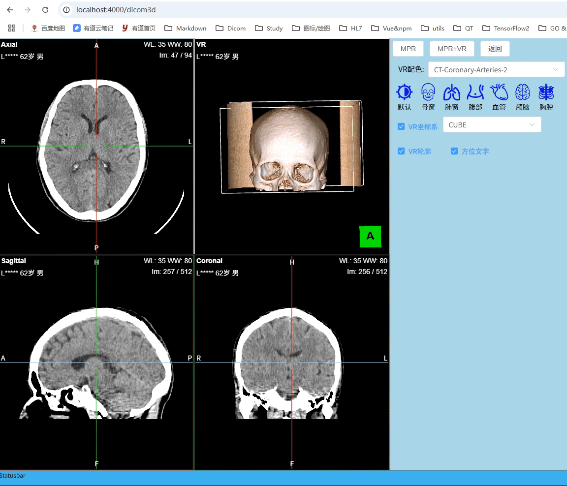
本章实现三个功能:
- mpr窗口中显示方位文字
- vr窗口右下角显示坐标系
- vr窗口显示轮廓线
效果如下:

一、工具栏修改
- 在工具栏上添加“VR坐标系”、“VR轮廓”、“方位文字” 三个checkbox,用来控制各自的显示与隐藏。添加select选择器用来切换VR坐标系的显示外观(CUBE, AXES, CUSTOM)。 其中CUSTOM的vtp文件点此处下载
<template>
<div class="toolbar">
...
<div class="toolbar-row">
<el-checkbox v-model="showAxes" label="VR坐标系" size="large" style="margin: 0 10px" />
<el-select v-model="currentAxes" placeholder="Select Axes Type" style="width: 200px">
<el-option v-for="item in axes" :key="item.name" :label="item.name" :value="item.value" />
</el-select>
</div>
<div class="toolbar-row">
<el-checkbox v-model="showOutline" label="VR轮廓" size="large" style="margin-left: 10px" />
<el-checkbox v-model="showOrientText" label="方位文字" size="large" style="margin-left: 10px" />
</div>
</div>
</template>
- 监听以上各元素绑定的变量,发送事件到view3d
const currentAxes = ref(1);
const showOutline = ref(true);
const showAxes = ref(true);
const showOrientText = ref(true);
watch(showAxes, (newValue) => {
emit("action", { name: "showAxes", value: newValue });
});
watch(showOutline, (newValue) => {
emit("action", { name: "showOutline", value: newValue });
});
watch(showOrientText, (newValue) => {
emit("action", { name: "toggleOrientText" });
});
watch(currentAxes, (newValue) => {
emit("action", { name: "changeAxesType", value: newValue });
});
二、切片窗口显示方位文字
计算切片方位文字的算法参考第八章 在Displayer中显示图像方位
1. 修改mprvr.js,添加函数getOrientationMarkers
export default class MPR {
constructor(params) {
this.toolGroup = null;
this.vrToolGroup = null;
this.renderingEngine = null;
this.registered = false;
...
this.init(params);
}
init(config = {}) {
...
}
...
getOrientationMarkers({ camera, rotation }) {
let flipVertical = camera.flipVertical || false;
let flipHorizontal = camera.flipHorizontal || false;
let newRotation = rotation || 0;
let rowCosines, columnCosines;
const { viewUp, viewPlaneNormal } = camera;
const viewRight = vec3.create();
vec3.cross(viewRight, viewUp, viewPlaneNormal);
columnCosines = [-viewUp[0], -viewUp[1], -viewUp[2]];
rowCosines = viewRight;
const rowString = getOrientationStringLPS(rowCosines);
const columnString = getOrientationStringLPS(columnCosines);
const oppositeRowString = invertOrientationStringLPS(rowString);
const oppositeColumnString = invertOrientationStringLPS(columnString);
const markers = {
top: oppositeColumnString,
left: oppositeRowString,
right: rowString,
bottom: columnString
};
// If any vertical or horizontal flips are applied, change the orientation strings ahead of
// the rotation applications
if (flipVertical) {
markers.top = invertOrientationStringLPS(markers.top);
markers.bottom = invertOrientationStringLPS(markers.bottom);
}
if (flipHorizontal) {
markers.left = invertOrientationStringLPS(markers.left);
markers.right = invertOrientationStringLPS(markers.right);
}
// Swap the labels accordingly if the viewport has been rotated
// This could be done in a more complex way for intermediate rotation values (e.g. 45 degrees)
if (newRotation === 90 || newRotation === -270) {
return {
top: markers.left,
left: invertOrientationStringLPS(markers.top),
right: invertOrientationStringLPS(markers.bottom),
bottom: markers.right // left
};
} else if (newRotation === -90 || newRotation === 270) {
return {
top: invertOrientationStringLPS(markers.left),
left: markers.top,
bottom: markers.left,
right: markers.bottom
};
} else if (newRotation === 180 || newRotation === -180) {
return {
top: invertOrientationStringLPS(markers.top),
left: invertOrientationStringLPS(markers.left),
bottom: invertOrientationStringLPS(markers.bottom),
right: invertOrientationStringLPS(markers.right)
};
}
return markers;
}
}
2. 修改DisplayerArea3D.vue
- 在mpr 三个div上中、下中、左中、右中添加用于显示方位文字的元素。都与变量showOrientText绑定,用来控制显示/隐藏
<template>
<div
class="container3d"
ref="elContainer"
v-loading="loading"
element-loading-text="正在处理..."
element-loading-background="rgba(0, 0, 0, 0.8)"
@mousedown.prevent="OnSelectView"
>
<div class="axialparent" :style="axialStyle" v-show="showAxial" @dblclick="OnDbClick">
<div ref="elAxial" class="sliceview" @contextmenu.prevent>
...
<!--显示方位文字-->
<span class="orient_top" v-show="showOrientText">{{ axialText.orient.top }}</span>
<span class="orient_bottom" v-show="showOrientText">{{ axialText.orient.bottom }}</span>
<span class="orient_left" v-show="showOrientText">{{ axialText.orient.left }}</span>
<span class="orient_right" v-show="showOrientText">{{ axialText.orient.right }}</span>
</div>
</div>
<div class="vrcprparent" v-show="showVR" @dblclick="OnDbClick">
...
</div>
<div class="sagittalparent" v-show="showSagittal" @dblclick="OnDbClick">
<div ref="elSagittal" class="sliceview" @contextmenu.prevent>
...
<!--显示方位文字-->
<span class="orient_top" v-show="showOrientText">{{ sagittalText.orient.top }}</span>
<span class="orient_bottom" v-show="showOrientText">{{ sagittalText.orient.bottom }}</span>
<span class="orient_left" v-show="showOrientText">{{ sagittalText.orient.left }}</span>
<span class="orient_right" v-show="showOrientText">{{ sagittalText.orient.right }}</span>
</div>
</div>
<div class="coronalparent" v-show="showCoronal" @dblclick="OnDbClick">
<div ref="elCoronal" class="sliceview" @contextmenu.prevent>
...
<!--显示方位文字-->
<span class="orient_top" v-show="showOrientText">{{ coronalText.orient.top }}</span>
<span class="orient_bottom" v-show="showOrientText">{{ coronalText.orient.bottom }}</span>
<span class="orient_left" v-show="showOrientText">{{ coronalText.orient.left }}</span>
<span class="orient_right" v-show="showOrientText">{{ coronalText.orient.right }}</span>
</div>
</div>
</div>
</template>
- 定义三个切片方位文字的保存变量axialText,sagittalText, coronalText
- 在onMounted中调用MPR bindCameraEvent绑定CAMERA_MODIFIED事件,调用UdpateOrientation函数
- 添加cameraHandler,UdpateOrientation函数更新方位文字
import { ViewportId, getDicomInfo } from "../cornerstone3D/mprvr.js";
const cornerText = reactive({
[ViewportId.AXIAL]: {
wwwc: "",
slice: "",
orient: {
top: "",
bottom: "",
left: "",
right: ""
}
},
[ViewportId.SAGITTAL]: {
wwwc: "",
slice: "",
orient: {
top: "",
bottom: "",
left: "",
right: ""
}
},
[ViewportId.CORONAL]: {
wwwc: "",
slice: "",
orient: {
top: "",
bottom: "",
left: "",
right: ""
}
}
});
const cameraHandler = e => {
UdpateOrientation(e);
};
const UdpateOrientation = e => {
const { viewportId, camera, rotation} = e.detail;
const markers = theMPR.getOrientationMarkers({ camera, rotation });
if (markers && showOrientText.value) {
cornerText[viewportId].orient = markers;
}
};
onMounted(() => {
theMPR = new MPR({
elAxial: elAxial.value,
elSagittal: elSagittal.value,
elCoronal: elCoronal.value,
elVR: elVR.value
});
load();
theMPR.bindRenderEvent(renderHandler);
theMPR.bindCameraEvent(cameraHandler);
});
三、vr窗口显示坐标系
1. 修改mprvr.js 添加OrientationMarkerTool
- 添加axesConfig 为OrientationMarkerTool定义三种类型外观配置项
- 添加工具 this.vrToolGroup.addTool(OrientationMarkerTool.toolName, axesConfig)
- 添加showAxes函数,显示/隐藏坐标系
- 添加setAxesType函数,切换坐标系外观
- loadImages中调用this.showAxes(true),显示默认坐标系-CUBE
const {
ToolGroupManager,
Enums: csToolsEnums,
...
OrientationMarkerTool
} = cornerstoneTools;
const axesConfig = {
orientationWidget: {
viewportSize: 0.08,
minPixelSize: 70,
maxPixelSize: 200
},
overlayMarkerType: OrientationMarkerTool.OVERLAY_MARKER_TYPES.ANNOTATED_CUBE,
overlayConfiguration: {
[OrientationMarkerTool.OVERLAY_MARKER_TYPES.ANNOTATED_CUBE]: {
faceProperties: {
xPlus: {
text: "L",
faceColor: viewportColors[idSagittal], //"#ffff00",
faceRotation: 90
},
xMinus: {
text: "R",
faceColor: viewportColors[idSagittal], //"#ffff00",
faceRotation: 270
},
yPlus: {
text: "P",
faceColor: viewportColors[idCoronal], //"#00ffff",
fontColor: "black",
faceRotation: 180
},
yMinus: {
text: "A",
faceColor: viewportColors[idCoronal], //"#00ffff",
fontColor: "black"
},
zPlus: {
text: "S",
faceColor: viewportColors[idAxial] //"#00ffff",
// fontColor: "white",
},
zMinus: {
text: "I",
faceColor: viewportColors[idAxial] //"#00ffff",
// fontColor: "white",
}
},
defaultStyle: {
fontStyle: "bold",
fontFamily: "Arial",
fontColor: "black",
fontSizeScale: res => res / 2,
faceColor: "#0000ff",
edgeThickness: 0.05,
edgeColor: "black",
resolution: 400
}
},
[OrientationMarkerTool.OVERLAY_MARKER_TYPES.AXES]: {},
[OrientationMarkerTool.OVERLAY_MARKER_TYPES.CUSTOM]: {
polyDataURL: "/src/assets/Human.vtp"
}
}
};
export default class MPR {
constructor(params) {
this.toolGroup = null;
this.vrToolGroup = null;
this.renderingEngine = null;
this.registered = false;
this.viewportInputArray = null;
this.crosshairsToolActive = true;
this.loaded = false;
this.selecteToolName = "";
this.params = params;
this.volume = null;
this.init(params);
}
init(config = {}) {
const { elAxial, elSagittal, elCoronal, elVR } = config;
cornerstoneTools.addTool(CrosshairsTool);
...
cornerstoneTools.addTool(OrientationMarkerTool);
this.vrToolGroup = ToolGroupManager.getToolGroup(vrToolGroupId);
if (!this.vrToolGroup) {
this.vrToolGroup = ToolGroupManager.createToolGroup(vrToolGroupId);
this.vrToolGroup.addTool(TrackballRotateTool.toolName);
this.vrToolGroup.addTool(ZoomTool.toolName, {
zoomToCenter: true,
invert: true,
minZoomScale: 0.15,
maxZoomScale: 20
});
...
// 添加坐标系工具
this.vrToolGroup.addTool(OrientationMarkerTool.toolName, axesConfig);
}
}
async loadImages(imageIds) {
let newImageIds = [...new Set(imageIds)];
for (let i = 0; i < newImageIds.length; i++) {
await cornerstoneDICOMImageLoader.wadouri.loadImage(newImageIds[i]).promise;
}
// Define a volume in memory
this.volume = await volumeLoader.createAndCacheVolume(volumeId, {
imageIds: newImageIds
});
...
// 显示坐标系
this.showAxes(true);
this.loaded = true;
}
...
setAxesType(type) { // 坐标系外观
axesConfig.overlayMarkerType = type;
const options = this.vrToolGroup.getToolOptions(OrientationMarkerTool.toolName);
if (options.mode === "Enabled") {
this.vrToolGroup.setToolDisabled(OrientationMarkerTool.toolName);
this.vrToolGroup.setToolConfiguration(OrientationMarkerTool.toolName, {
overlayMarkerType: type
});
this.vrToolGroup.setToolEnabled(OrientationMarkerTool.toolName);
}
}
showAxes(show) { // 显示/隐藏坐标系
if (show) {
this.vrToolGroup.setToolConfiguration(OrientationMarkerTool.toolName, {
overlayMarkerType: axesConfig.overlayMarkerType
});
this.vrToolGroup.setToolEnabled(OrientationMarkerTool.toolName);
} else {
this.vrToolGroup.setToolDisabled(OrientationMarkerTool.toolName);
}
}
}
2. view3d.vue中响应工具栏事件
async function OnToolbarAction(action) {
switch (action.name) {
...
case "showOutline": // 显示/隐藏 轮廓线
displayArea.value.showOutline(action.value);
break;
case "showAxes": // 显示/隐藏 坐标系
displayArea.value.showAxes(action.value);
break;
case "toggleOrientText": // 显示/隐藏 切片窗口方位文字
displayArea.value.toggleOrientText();
break;
case "changeAxesType": // 切换坐标系外观
displayArea.value.changeAxesType(action.value);
break;
default:
break;
}
}
3. 修改DisplayerArea3D.vue
添加并导出工具栏操作响应函数:showAxes,changeAxesType
const showAxes = show => {
theMPR.showAxes(show);
};
const changeAxesType = type => {
theMPR.setAxesType(type);
};
defineExpose({
...
showAxes,
changeAxesType,
});
四、vr窗口显示轮廓线
1. 修改mprvr.js 添加addOutline,showOutline函数
- 导入vtk.js中的vtkOutlineFilter,vtkMapper,vtkActor
- 添加addOutline函数,vtkOutlineFilter输入连接this.volume.imageData
- 添加showOutline函数,显示/隐藏轮廓线
- loadImages中调用this.showOutline(true),默认显示轮廓线
import vtkOutlineFilter from "@kitware/vtk.js/Filters/General/OutlineFilter";
import vtkMapper from "@kitware/vtk.js/Rendering/Core/Mapper";
import vtkActor from "@kitware/vtk.js/Rendering/Core/Actor";
let outlineActor = null;
export default class MPR {
constructor(params) {
this.toolGroup = null;
this.vrToolGroup = null;
...
this.init(params);
}
init(config = {}) {
...
}
...
addOutline() {
// Create image outline in 3D view
const outline = vtkOutlineFilter.newInstance();
const mapper = vtkMapper.newInstance();
outlineActor = vtkActor.newInstance();
outlineActor.setMapper(mapper);
outline.setInputData(this.volume.imageData);
mapper.setInputData(outline.getOutputData());
const viewport = this.renderingEngine.getViewport(idVolume);
viewport.addActor({ uid: "VOLUME_OUTLINE", actor: outlineActor });
outlineActor.setVisibility(true);
viewport.render();
}
showOutline(show) {
if (!outlineActor) return;
outlineActor.setVisibility(show);
const viewport = this.renderingEngine.getViewport(idVolume);
viewport.render();
}
}
2. view3d.vue中响应工具栏操作
参考第三节
3. 修改DisplayerArea3D.vue
添加并导出工具栏操作响应函数:showOutline
const showOutline = show => {
theMPR.showOutline(show);
};
defineExpose({
...
showOutline
});
总结
mpr切片窗口显示/隐藏 方位文字。
vr窗口显示/隐藏坐标系,切换坐标系外观
vr窗口显示/隐藏轮廓线。