导读
神经生物学是生命科学中最重要的研究领域之一,也是转化医学的重要分支。近年来人们对神经系统疾病的了解在逐渐深入,但神经系统疾病发病机制极端复杂,如神经系统退行性疾病,神经炎症等给治疗带来了极大的困难,想要更为准确地诊断以及有效治疗还得经过不断深入地研究。 GFAP作为一种成熟的星型胶质细胞标志物,在神经系统疾病的诊断与治疗中发挥了重要作用 。GFAP的简介
胶质纤维酸性蛋白(Glail fibrillary acidicprotein,GFAP)是一种Ⅲ型中间纤维蛋白,主要存在于成熟的星形胶质细胞内,是星形胶质细胞的重要组成部分,也是主要的细胞骨架,除了在神经系统星形胶质细胞内高量表达外,GFAP在软骨细胞、成纤维细胞、肌上皮细胞、淋巴细胞、肝星形细胞也有表达,中间纤维蛋白在大脑的不同发育时期,其表达形式也存在差异,GFAP的表达受多种因素的影响,例如脑损伤和神经性肿瘤等疾病。GFAP与神经性疾病
胶质纤维酸性蛋白星形细胞病(GFAP-A)是一种自身免疫介导的主要累积脑、脑膜、脊髓和视神经的新型中枢神经系统的疾病,以发热、头痛、脑病、脊髓炎、视力异常为主要临床特征。国内外已有研究人员对该病的临床表现及发病机制进行了相关的研究。但迄今为止,关于GFAP-A的诊断和治疗仍缺少国际共识和统一标准,确切病因和发病机制亦尚不明确。目前最新的研究表明,星形胶质细胞约占中枢神经系统细胞的30-40%,是形成血脑屏障(BBB)的组成部分,并与神经系统中的其他细胞(包括神经元)建立许多相互作用,含有GFAP的星形细胞末端足是血脑屏障和淋巴系统的重要组成部分,星形胶质细胞对于维持轴突代谢稳态至关重要,并有助于三方突触的连接及信号传导(图1)。

图1.中枢神经系统星型胶质细胞的作用(棕色圆点为GFPA)
GFAP与急性中枢神经系统损伤
中枢神经系统损伤可分为创伤性脑损伤(TBI)、脑血管损伤及创伤性脊髓损伤,TBI是全世界常见的神经性残疾原因,主要发生在年轻人中。对病人护理的评估标准目前往往取决于颅部CT等放射学手段,这对长期暴露在电离辐射条件下的患者有消极的影响,研究人员通过对颅内或人体血液中GFAP的检测,发现血清GFAP的预设临界值为327 pg/mL时,能够预测头部CT上颅内损伤程度。有证据表明GFAP水平对头部CT扫描不可见的亚临床颅内病变敏感。总而言之,GFAP可能代表了不易用CT甚至MRI评估的小而弥漫性结构损伤的可靠代表,因此,它可以用作颅内病理学的标志物用于医学诊断。
GFAP与炎症性中枢神经系统疾病
炎症性中枢神经系统疾病包括视觉神经脊髓炎谱系障碍(NMOSD)、神经退行性疾病、多发性硬化症(MS)等,MS是一种复杂的炎症和神经退行性疾病,据统计全世界患病人数超过200万人。2019年一篇论文报导了一种新型检验MS的医学诊断方法,研究者通过对比不同患有MS疾病的患者发现,MS患者的GFAP水平高于健康人群和非炎症性神经系统疾病人群,这也间接表明GFAP目前已经作为中枢性神经损伤标志物,对病理的判断及药物的靶向治疗提供了科学的参考价值,是转化医学中重要的靶标蛋白之一(图2)。

图2.GFAP作为脑和脊髓疾病的新兴生物标志物【1】
GFAP在病理学中的应用:
1.表达于星形细胞、室管膜细胞、视网膜Muller细胞,因此可用于这些细胞来源的肿瘤的诊断及胶质瘤与脑膜瘤的鉴别,但不表达于成熟的少突胶质细胞(少突胶质细胞阴性);
2.可与雪旺细胞、肌上皮细胞、Kupffer及一些软骨细胞反应,因而包含这些成分的肿瘤可与GFAP反应(50%软组织肌上皮瘤表达GFAP)
3.可作为恶性外周神经鞘瘤的二线标记抗体(30%的病例局灶表达GFAP)
GFAP在肿瘤中的表达情况:
几平全部阳性(≥95%的病例阳性):
血管中心性神经上皮肿瘤、弥漫性纤维型星形细胞瘤、混合性少突-星形细胞瘤、毛黏液样星形细胞瘤、乳头状室管膜瘤、星形细胞瘤,高分化、间变性星形细胞瘤、胖细胞型星形细胞瘤、多形性黄色瘤样星形细胞瘤、脊索样胶质瘤,胶质肉瘤,胶质成分,胶质母细胞瘤,NOS,上皮样多形性胶质母细胞瘤,横纹肌样多形性胶质母细胞瘤,普细胞胶质瘤、胶质肉瘤、中线外室管膜瘤、中枢性原始神经外胚层瘤、颗粒细胞型星形细胞瘤(大脑半球)
通常阳性(<95%,>75%的病例阳性):
涎腺小管腺瘤、垂体细胞瘤、多形性腺瘤、室管膜下巨细胞星形细胞瘤、室管膜瘤、副脊索瘤、脉络从乳头状瘤。
转化医学将基础医学研究和临床治疗连接起来,在健康产业中的重要性不断提升,其精确定义也不断变化,在药物的研发过程中,转化医学的典型含义是将基础研究的成果转化成为实际患者提供的真正治疗手段。病理靶点作为医学上艰难的攻克难题,与转化医学的成功转化率息息相关,所以选择优秀的研究工具能最大程度上帮助我们解决医学上的重重困难。
ABclonal助力产品:
GFAP Rabbit mAb (A19058)

应用:WB,IHC,IF 种属:Human,Mouse,Rat




客户反馈数据:GFAP Rabbit mAb (A19058)

IHC:小鼠胰腺组织染色【2】

IF:小鼠神经胶质细胞染色[3]

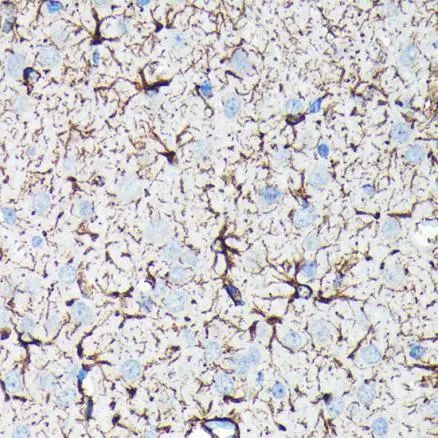
IHC:大鼠前角星形胶质细胞【4】

参考文献
A. Abdelhak et al., Blood GFAP as an emerging biomarker in brain and spinal cord disorders. Nat Rev Neurol 18, 158-172 (2022).
F. Li et al., Inflammatory-miR-301a circuitry drives mTOR and Stat3-dependent PSC activation in chronic pancreatitis and PanIN. Mol Ther Nucleic Acids 27, 970-982 (2022).
J. Wan et al., Synaptotagmin 1 Is Involved in Neuropathic Pain and Electroacupuncture-Mediated Analgesic Effect. Int J Mol Sci 21, (2020).
B. X. Nie et al., Inhibition of CDK1 attenuates neuronal apoptosis and autophagy and confers neuroprotection after chronic spinal cord injury in vivo. J Chem Neuroanat 119, 102053 (2022).
ABclonal
公司简介
武汉爱博泰克生物科技有限公司(ABclonal Technology Co.,Ltd.)成立于2011年,作为生命科学解决方案的提供商,旨在为更多的科研工作者、IVD企业、新技术开发企业提供抗体、酶、NGS产品和蛋白制品等全套解决方案。